University Hospitals Emergency Medicine Residency
Home Blog Cleveland Resources
Message from our Chair Our Mission Our Leadership Meet Our Team Training Sites Department Tour Clinical Training Conference Curriculum Resident Life Alumni
Clinical Operations Critical Care Medical Education Prehospital & Disaster Medicine Research Social EM Sports Medicine Toxicology Ultrasound
Clinical Operations & Administration Critical Care EMS Medical Education Social EM Sports Medicine Ultrasound
Rotate With Us About our AI Applicant Info
Home Residency Program Message from our Chair Our Mission Our Leadership Meet Our Team Training Sites Department Tour Clinical Training Conference Curriculum Resident Life Alumni Divisions Clinical Operations Critical Care Medical Education Prehospital & Disaster Medicine Research Social EM Sports Medicine Toxicology Ultrasound Fellowships Clinical Operations & Administration Critical Care EMS Medical Education Social EM Sports Medicine Ultrasound Medical Students Rotate With Us About our AI Applicant Info BlogClevelandResources
University Hospitals Emergency Medicine Residency
 
 
 
Ultrasound Videos
Featured
Intern Ultrasound of the Month: Pneumothorax
Nov 11, 2025
Intern Ultrasound of the Month: Pneumothorax
Nov 11, 2025

This post by Dr. Jordan DeAngelis reviews the use of point-of-care lung ultrasound to assess for pneumothorax, focusing on image acquisition, interpretation of lung sliding and the lung point, and practical tips to avoid common pitfalls.

Read More →
Nov 11, 2025
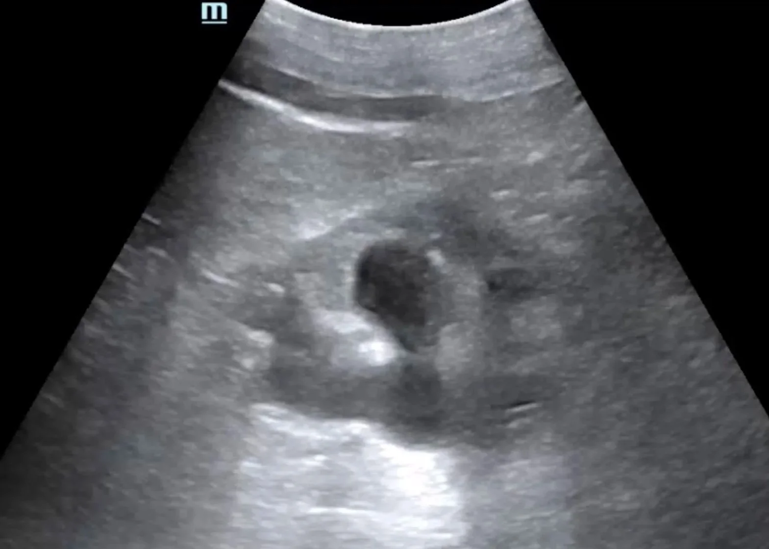
Intern Ultrasound of the Month: Hydronephrosis
Aug 31, 2025
Intern Ultrasound of the Month: Hydronephrosis
Aug 31, 2025

This case is by Dr. Nicole Minnerath and illustrates the detection of new hydronephrosis in a patient with bilateral nephrostomy tubes and ureteral stents. Read on to explore the role of renal and bladder POCUS in evaluating obstructive uropathy.

Read More →
Aug 31, 2025
Intern Ultrasound of the Month: To Drain or Not to Drain? Ultrasound for Abscess
Jun 29, 2025
Intern Ultrasound of the Month: To Drain or Not to Drain? Ultrasound for Abscess
Jun 29, 2025

In this post, Dr. Tiana Sarsour highlights a case of recurrent abscesses and fever where POCUS confirmed a drainable collection, followed by a great review of abscess management and the role of ultrasound for skin and soft tissue infections.

Read More →
Jun 29, 2025
Ultrasound of the Month: Central Retinal Artery Occlusion
May 31, 2025
Ultrasound of the Month: Central Retinal Artery Occlusion
May 31, 2025

This case is by Dr. Hannah Hendrix (now PGY2) and features a great example of the retrobulbar spot sign — a unique finding associated with embolic central retinal artery occlusion (CRAO). Read on for a quick review of ocular ultrasound and a closer look at this highly specific sonographic feature.

Read More →
May 31, 2025
Ultrasound-Guided Pericardiocentesis: A Review
Apr 20, 2025
Ultrasound-Guided Pericardiocentesis: A Review
Apr 20, 2025

This post by Dr. Thomas Evans walks through the essentials of ultrasound-guided pericardiocentesis — when to do it, how to do it, and what pitfalls to avoid. We highlight the subxiphoid, parasternal, and apical approaches with practical POCUS tips for real-time needle visualization, plus a review of complications and how to keep the procedure as safe as possible.

Read More →
Apr 20, 2025
Intern Ultrasound of the Month: Cardiac Tamponade
Oct 27, 2024
Intern Ultrasound of the Month: Cardiac Tamponade
Oct 27, 2024

This case is by Dr. Ryan Starkman (now PGY2) and is a great example of a large circumferential pericardial effusion with sonographic tamponade physiology diagnosed with POCUS. This expedited interventional cardiology involvement before the patient decompensated, and 750cc of fluid was successfully drained in the cath lab.

Read More →
Oct 27, 2024
Intern Ultrasound of the Month: Iliac Aneurysm Mimicking Pelvic Structures
Sep 13, 2024
Intern Ultrasound of the Month: Iliac Aneurysm Mimicking Pelvic Structures
Sep 13, 2024

This case is by Dr. Jacob Perino and is a great example of an incidental finding of an iliac aneurysm found when performing a bladder ultrasound on a patient presenting with a malfunctioning Foley catheter. Read on to learn more about iliac aneurysms and bladder ultrasound in the setting of a Foley.

Read More →
Sep 13, 2024
Intern Ultrasound of the Month: Retinal Detachment
Jul 25, 2024
Intern Ultrasound of the Month: Retinal Detachment
Jul 25, 2024

This month’s case is by Dr. Yanina Guevara who shares a case of painless monocular vision changes in a patient who was found to have a retinal detachment (and vitreous hemorrhage), first diagnosed with point-of-care ultrasound! This is accompanied by an overview of how to perform an ultrasound ocular exam and highlights some of the pathologies that can be visualized. Read on to learn more!

Read More →
Jul 25, 2024
Intern Ultrasound of the Month: A Rare Complex Cystic Renal Mass
May 31, 2024
Intern Ultrasound of the Month: A Rare Complex Cystic Renal Mass
May 31, 2024

Our latest Intern Ultrasound of the Month is by Dr. Abby Wissman and features a cool case of a complex cystic renal mass found incidentally. She reviews the basics of renal POCUS and dives into a great discussion about various renal pathology that we may see on ultrasound.

Read More →
May 31, 2024
Intern Ultrasound of the Month: Don't Overlook the Right Ventricle!
Apr 15, 2024
Intern Ultrasound of the Month: Don't Overlook the Right Ventricle!
Apr 15, 2024

To follow up our most recent case of McConnell’s sign in the setting of an acute pulmonary embolism, Dr. Isma Dhanani goes more in-depth on the right heart and covers additional signs of right heart dysfunction - acute and chronic - that can be quickly identified with POCUS.

Read More →
Apr 15, 2024
Intern Ultrasound of the Month: A Sign of Acute Pulmonary Embolism
Feb 26, 2024
Intern Ultrasound of the Month: A Sign of Acute Pulmonary Embolism
Feb 26, 2024

Our latest Intern Ultrasound of the Month is brought to you by Dr. Gabe Alagna. He presents a case in which POCUS performed on a patient in cardiac arrest found an enlarged right heart with McConnell’s sign, raising concern for PE, which quickly changed management. Read on to learn more!

Read More →
Feb 26, 2024
Intern Ultrasound of the Month: AAA
Jan 21, 2024
Intern Ultrasound of the Month: AAA
Jan 21, 2024

Our latest Intern Ultrasound of the Month is by Dr. Annie Thai. She shares a case of a symptomatic abdominal aortic aneurysm and provides a great review of how to perform and optimize your aorta ultrasound exam. We hope you enjoy!

Read More →
Jan 21, 2024
Intern Ultrasound of the Month: Cellulitis of the Lower Extremity
Nov 30, 2023
Intern Ultrasound of the Month: Cellulitis of the Lower Extremity
Nov 30, 2023

Our next Intern Ultrasound of the Month is by Dr. Dave Wiliams and features a classic case of cellulitis in which POCUS helped support the clinical diagnosis and rule out an abscess. Read on for a great review of cellulitis and how to evaluate for soft tissue infections using POCUS.

Read More →
Nov 30, 2023
Intern Ultrasound of the Month: Vitreous Hemorrhage
Sep 24, 2023
Intern Ultrasound of the Month: Vitreous Hemorrhage
Sep 24, 2023

Our next Intern Ultrasound of the Month is by Dr. Matthew Hom and features a great case of vitreous hemorrhage diagnosed with POCUS. Read on to learn more about this and how to differentiate from ophthalmologic emergencies such as retinal detachment.

Read More →
Sep 24, 2023
Intern Ultrasound of the Month: Post-Viral Pneumonia
Aug 13, 2023
Intern Ultrasound of the Month: Post-Viral Pneumonia
Aug 13, 2023

Our next Intern Ultrasound of the Month is by (now PGY2) Dr. Brian Fort and features a great case of post-viral pneumonia with associated pleural effusions diagnosed with POCUS when the patient was too unstable for CT. The patient’s course was further complicated by bacterial superinfection resulting in Lemierre syndrome.

Read More →
Aug 13, 2023
Intern Ultrasound of the Month: Left Ventricular Hypertrophy
Jul 4, 2023
Intern Ultrasound of the Month: Left Ventricular Hypertrophy
Jul 4, 2023

Our latest Intern Ultrasound of the Month by Dr. Shruti Africawala features a great case of left ventricular hypertrophy and hypertrophic cardiomyopathy, along with a review of evaluating LV function with POCUS.

Read More →
Jul 4, 2023
Intern Ultrasound of the Month: A Case of Hydronephrosis Leading to the Diagnosis of Tubo-Ovarian Abscess
Jun 6, 2023
Intern Ultrasound of the Month: A Case of Hydronephrosis Leading to the Diagnosis of Tubo-Ovarian Abscess
Jun 6, 2023

Not all hydronephrosis is a kidney stone! Our latest Intern Ultrasound of the Month by Dr. Brooke Ott features a great case of a patient presenting with flank pain whose renal POCUS found hydronephrosis in addition to complex mass in her pelvis. This led to the discovery of tubo-ovarian abscess as the culprit. Learn more in this blog post!

Read More →
Jun 6, 2023
Intern Ultrasound of the Month: Retinal Detachment
May 10, 2023
Intern Ultrasound of the Month: Retinal Detachment
May 10, 2023

Flashes & floaters & POCUS, oh my! Our latest Intern Ultrasound of the Month is by Dr. Ranjana (RJ) Ravikumar and features a great case of a large retinal detachment diagnosed with POCUS! Check it out !

Read More →
May 10, 2023
Intern Ultrasound of the Month: A Painful, Swollen Knee
Mar 20, 2023
Intern Ultrasound of the Month: A Painful, Swollen Knee
Mar 20, 2023

Our next Intern Ultrasound of the Month is by Dr. Kelsie Rhyne and features a great case discussion about the diagnostic and procedural utility of POCUS for evaluating and managing a painful, swollen knee (and other joints).

Read More →
Mar 20, 2023
Intern Ultrasound of the Month: Achilles Tendon Tear
Feb 9, 2023
Intern Ultrasound of the Month: Achilles Tendon Tear
Feb 9, 2023

Our latest Intern Ultrasound of the Month by Dr. Vincent Marshall features a case of achilles tendon tear confirmed with POCUS. Read on to learn more!

Read More →
Feb 9, 2023
Intern Ultrasound of the Month: “Boy You Got That Heartbeat Runnin’ Away”: A Case of Ventricular Tachycardia & POCUS in Cardiac Arrest
Jan 17, 2023
Intern Ultrasound of the Month: “Boy You Got That Heartbeat Runnin’ Away”: A Case of Ventricular Tachycardia & POCUS in Cardiac Arrest
Jan 17, 2023

Our latest Intern Ultrasound of the Month by Dr. Polly Wiltz features a case of ventricular tachycardia, visualized on POCUS, followed by a discussion on using POCUS in cardiac arrest. Read on to learn more!

Read More →
Jan 17, 2023
Thoracic Ultrasound & Complex Pleural Effusions
Dec 23, 2022
Thoracic Ultrasound & Complex Pleural Effusions
Dec 23, 2022

Don’t just get a chest x-ray! Use lung ultrasound to improve your diagnostic ability! Our latest Intern Ultrasound of the Month by Dr. Ian Brallier features an interesting case of a complex pleural effusion with extensive lung consolidation from lung cancer. Read on to learn more about evaluating for pleural effusions (and other pathology) using ultrasound!

Read More →
Dec 23, 2022
Intern Ultrasound of the Month: Medial Collateral Ligament Injury in the Emergency Department
Nov 22, 2022
Intern Ultrasound of the Month: Medial Collateral Ligament Injury in the Emergency Department
Nov 22, 2022

Did you know you can diagnose ligament injuries of the knee using POCUS? Our latest Intern Ultrasound of the Month by Dr. Shauna Combs features a case of an MCL tear and traumatic effusion followed by discussion on how to evaluate for various musculoskeletal injuries of the knee! Read on to learn more!

Read More →
Nov 22, 2022
Intern Ultrasound of the Month: Utility of POCUS for 1st Trimester Bleeding in the ED
Oct 30, 2022
Intern Ultrasound of the Month: Utility of POCUS for 1st Trimester Bleeding in the ED
Oct 30, 2022

Our next Intern Ultrasound of the Month is a great review of POCUS for First Trimester Pregnancy by Dr. Austin Schoeffler!

Read More →
Oct 30, 2022
Intern Ultrasound of the Month: A Left Atrial Aneurysm & Review of the Basics
Sep 24, 2022
Intern Ultrasound of the Month: A Left Atrial Aneurysm & Review of the Basics
Sep 24, 2022

Our first Intern Ultrasound of the Month for this academic year is by Dr. Auryana DeChick! It features a case of an incidentally found left atrial aneurysm as well as a great primer on acquiring the different cardiac views for a focused echo!

Read More →
Sep 24, 2022
Intern Ultrasound of the Month: POCUS for Evaluation and Management of Ascites
Jul 8, 2022
Intern Ultrasound of the Month: POCUS for Evaluation and Management of Ascites
Jul 8, 2022

This latest Intern US of the Month is by Dr. Sam Hertz and features a great discussion on using POCUS to evaluate for ascites and guide paracentesis.

Read More →
Jul 8, 2022
Intern Ultrasound of the Month: "Feeling the Pressure" - A Calcaneal Avulsion Fracture
Jun 10, 2022
Intern Ultrasound of the Month: "Feeling the Pressure" - A Calcaneal Avulsion Fracture
Jun 10, 2022

This latest Intern US of the Month case by Dr. Juan Valdes Infante showcases the utility of POCUS in evaluating for multiple ankle pathologies. Learn more about calcaneal avulsion fractures, which are often a surgical emergency, and how to assess for various ankle pathologies using POCUS!

Read More →
Jun 10, 2022
Intern Ultrasound of the Month: Aortic Dissection
May 17, 2022
Intern Ultrasound of the Month: Aortic Dissection
May 17, 2022

This Intern US of the Month features a great case by Dr. Rich Dowd of an extensive aortic dissection spanning from the aortic arch to the bifurcation with extension into the left subclavian artery. Check out the full post to learn more!

Read More →
May 17, 2022
Intern Ultrasound of the Month: Pneumothorax
Apr 25, 2022
Intern Ultrasound of the Month: Pneumothorax
Apr 25, 2022

This latest Intern US of the Month features a case of a traumatic pneumothorax and a great discussion on this time-saving and highly useful POCUS assessment by Dr. Blake Nelson!

Read More →
Apr 25, 2022
Intern Ultrasound of the Month: A Mimicker of Vitreous Hemorrhage - Asteroid Hyalosis
Apr 11, 2022
Intern Ultrasound of the Month: A Mimicker of Vitreous Hemorrhage - Asteroid Hyalosis
Apr 11, 2022

This Intern US of the Month features a unique case of asteroid hyalosis, a mimicker of vitreous hemorrhage, diagnosed with POCUS by Dr. Eniola Gros!

Read More →
Apr 11, 2022
Older Posts/Archive
amy.lovano@uhhospitals.org
Hours

Follow us on Instagram & Twitter! @UHCMC_ED

Contact US